
Inside Developing Bones
What am I looking at?
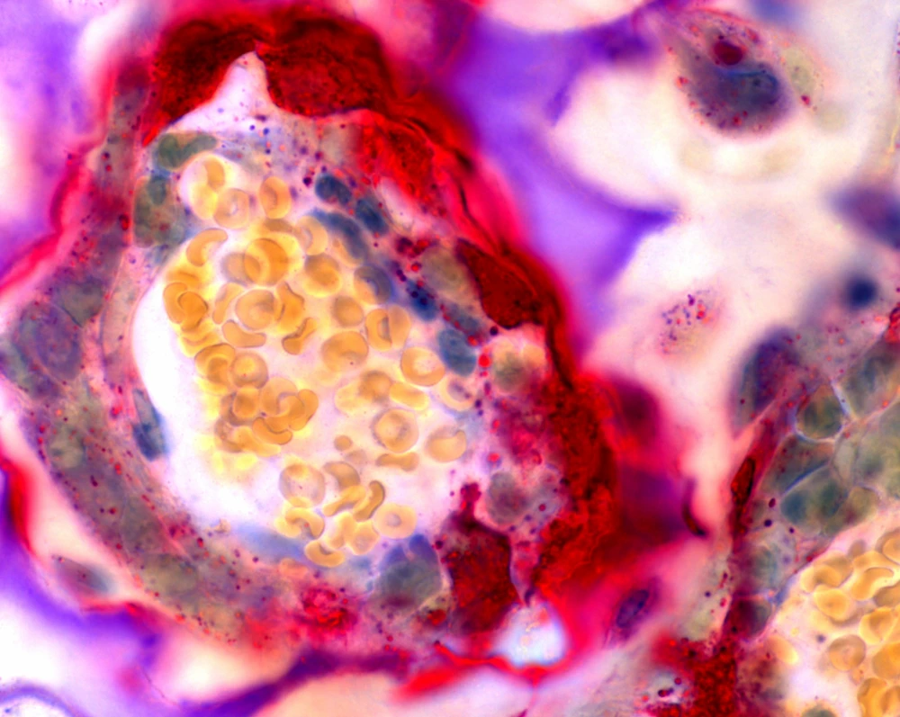
This is a fluorescently labeled cross section through the femur of a young mouse. The cartilage is purple and white (1). The red blood cells running through the blood vessel are yellow (2). And the osteoclasts, cells associated with bone resorption, are red (3).
Biology in the background
During mammalian growth and development, bones are formed from cartilage. However, bones have a more complex structure and anatomy than does cartilage. So as bones develop, space needs to be made in the cartilage to accommodate bone marrow and blood vessels.
It is osteoclasts, a special class of cells, that do this work – eating holes in the cartilage to make room for the blood vessels and bone marrow to form. They also create space for osteoblasts, which lay down bone tissue. Here, you can see a ring of red osteoclast cells surrounding a blood vessel that will provide the adult bone marrow with oxygen and nutrients. Osteoclasts are active throughout an organism’s life and are responsible for bone maintenance – breaking down old or damaged bone tissue.
The blood cells you can see in this image are about 7 micrometers across, or roughly 10 times smaller than the width of a human hair.
Technique
This image was created using fluorescent microscopy.
Paul R. Odgren, University of Massachusetts Medical School